99% dos ex-jogadores da NFL têm lesões cerebrais, revela estudo
Pesquisa sobre as consequências do futebol americano agita o debate sobre sequelas a longo prazo


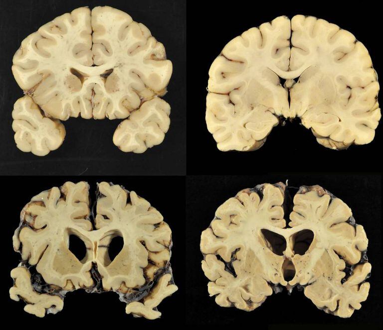
O consenso crescente sobre os danos neurológicos em longo prazo produzidos pelo futebol americano recebeu um novo apoio nesta terça-feira. Um estudo publicado no Journal of American Medical Association constatou lesões cerebrais em 110 de 111 cérebros doados por ex-jogadores da NFL, a liga profissional norte-americana. Embora as conclusões não possam ser extrapoladas para todos os praticantes do esporte mais popular nos Estados Unidos, é a maior amostra estudada até hoje.
A doença conhecida como Encefalopatia Traumática Crônica (ETC) é uma enfermidade degenerativa relacionada com choques na região da cabeça. Também é conhecida como demência pugilística porque começou a ser estudada como uma consequência do boxe. A discussão sobre sua relação direta com a prática do futebol americano começou há pouco mais de uma década como consequência de um estudo envolvendo ex-jogadores com problemas mentais depois da aposentadoria. As consequências podem surgir anos depois dos choques.
No total, o estudo examinou 202 cérebros de pessoas mortas que jogaram em alguma categoria do futebol americano, da escola à NFL, depois dos anos 60. A ETC está presente em 87% deles, 177. Entre aqueles que chegaram a jogar como profissionais, a proporção é superior a 99%. Em alguns casos, os pesquisadores tinham apenas o cérebro. Nos mais recentes, também dispunham de entrevistas sobre o comportamento geral da pessoa e outro tipo de experiências com possíveis consequências traumáticas, como ter estado no Exército.
O estudo encontrou evidências de ETC em 21% dos 14 que tinham jogado na escola, em 91% dos 54 que jogaram na universidade, em 64% de uma amostra de 14 que jogaram como semiprofissionais e em 7 dos 8 que atuaram na liga canadense.
O novo estudo publicado na terça-feira foi feito por pesquisadores da Faculdade de Medicina da Universidade de Boston e do Hospital de Veteranos de Boston. É a maior amostra estudada até o momento. Os cérebros estudados estão depositados em um banco de cérebros de Boston administrado pelas duas instituições e criado em 2008 para estudar essa questão.
O estudo adverte que essa é uma das razões pelas quais não se pode concluir com absoluta segurança que jogar futebol americano está diretamente relacionado com a ETC. Os cérebros estudados são de pessoas que os doaram para a ciência precisamente porque suspeitavam que algo errado estava acontecendo, o que faz com que a amostra apresente um desvio. Além disso, a doença só pode ser diagnosticada com segurança total em um exame post-mortem. Os autores do estudo não podem extrapolar as conclusões para todos os jogadores de futebol americano.
A conclusão do relatório se limita a dizer que “em uma amostra de jogadores de futebol americano mortos que doaram seus cérebros para a pesquisa, uma alta proporção tinha provas neuropatológicas de ETC, sugerindo que a ETC pode estar relacionada com a prática do futebol americano”.
A NFL está em pré-temporada no momento e prestes a começar a competição. A liga nacional de futebol americano evitou o debate sobre a ETC durante anos até que no ano passado, pela primeira vez, um executivo da organização admitiu a relação entre a modalidade e a doença quando perguntado diretamente durante uma audiência no Congresso. O debate atingiu seu maior nível de visibilidade com filme Concussion (Um Homem entre Gigantes), de 2015, sobre o médico que diagnosticou a relação entre a doença e o esporte mais popular dos EUA. Naquele ano, a NFL chegou a um acordo em uma ação coletiva de milhares de ex-jogadores comprometendo-se a pagar cinco milhões de dólares (cerca de 15,85 milhões de reais) a cada atleta aposentado com sequelas neurológicas graves.
Tu suscripción se está usando en otro dispositivo
¿Quieres añadir otro usuario a tu suscripción?
Si continúas leyendo en este dispositivo, no se podrá leer en el otro.
FlechaTu suscripción se está usando en otro dispositivo y solo puedes acceder a EL PAÍS desde un dispositivo a la vez.
Si quieres compartir tu cuenta, cambia tu suscripción a la modalidad Premium, así podrás añadir otro usuario. Cada uno accederá con su propia cuenta de email, lo que os permitirá personalizar vuestra experiencia en EL PAÍS.
¿Tienes una suscripción de empresa? Accede aquí para contratar más cuentas.
En el caso de no saber quién está usando tu cuenta, te recomendamos cambiar tu contraseña aquí.
Si decides continuar compartiendo tu cuenta, este mensaje se mostrará en tu dispositivo y en el de la otra persona que está usando tu cuenta de forma indefinida, afectando a tu experiencia de lectura. Puedes consultar aquí los términos y condiciones de la suscripción digital.










































