O que nos faz ser de esquerda ou direita? A ciência explica
Além da educação, até mesmo os genes podem condicionar a orientação ideológica


O lugar de nascimento, a classe social, a família e o ambiente em que crescemos, os professores e os amigos que temos, as experiências vividas. Tudo isso, ou seja, tudo o que faz parte da educação recebida, é o que muitos cidadãos podem alegar, com razão, ante a pergunta sobre o que nos faz ser de esquerda ou direita. Uma resposta que também serviria para questões mais gerais, como “por que somos bons ou maus”, ou questões mais prosaicas, do tipo “por que torcemos para o Corinthians ou o Flamengo”. Certamente, o cérebro humano é um órgão de plasticidade anatômica e fisiológica, e poucas coisas têm mais força que a educação para mudá-lo e modulá-lo.
Se a educação não mudasse os neurônios, sua influência em nossa vida seria nula ou residual. Particularmente na infância e na adolescência, as experiências que temos e as ideias que chegam até nós podem calar com tanta força e profundidade nossos sistemas de representação cerebral a ponto de persistir neles a vida inteira, pois são permanentemente reforçadas pelas condutas e interações sociais a que essas mesmas representações nos incitam, especialmente quando se expressam como sentimentos. Ok, mas todos os cérebros são iguais na hora de serem influenciados ou modelados pela educação? Em que medida a biologia e o cérebro que herdamos determinam a força e as possibilidades da educação que recebemos para nos tornarmos de direita ou esquerda?
O cérebro humano é um órgão de plasticidade anatômica e fisiológica, e poucas coisas têm mais força que a educação para mudá-lo e modulá-lo
Para tentar responder a essas perguntas, vamos usar os estudos que abordam a mesma problemática referindo-se à dicotomia liberais/conservadores, não coincidente com a de esquerda/direita, pois desta última não conhecemos estudos científicos relacionados com o cérebro1.
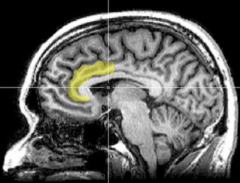
Em 2007, uma equipe de pesquisadores das universidades de Nova York e Califórnia realizou um trabalho experimental, publicado na prestigiosa revista Nature Neuroscience. O grupo mostrou, através de potenciais elétricos evocados e imagens de ressonância magnética funcional, que em situações de conflito as pessoas politicamente liberais apresentam mais atividade que as politicamente conservadoras na circunvolução cingulada anterior, uma região do lobo temporal do cérebro e responsável, entre outras funções, por responder, feito um alarme biológico, a situações onde o que raciocinamos não coincide com o que sentimos.
Desse modo, os pesquisadores concluíram que, frente às situações novas que requerem modificação dos comportamentos habituais, os liberais têm mais sensibilidade neurocognitiva que os conservadores. Também deduziram que a menor sensibilidade neurocognitiva dos conservadores em tais situações poderia explicar seu comportamento mais sistemático e persistente. A avaliação neurofisiológica desse estudo foi tão consistente que serviu para prever com bastante exatidão se os participantes tinham votado em John Kerry ou George Bush na eleição de 2004 nos Estados Unidos. Detalhe importante: ao falar de sensibilidade neurocognitiva, os autores do trabalho não se referem a um tipo de sensibilidade moral, e sim a um modo fisiológico de funcionamento do cérebro.
Posteriormente, em 2011, um estudo de pesquisadores do University College de Londres, também com imagens neurológicas de ressonância magnética, mostrou que os liberais tinham um volume maior de massa cinzenta, ou seja, de neurônios, nessa região cerebral, a circunvolução cingulada anterior, enquanto que os conservadores superavam os liberais no volume dessa mesma substância na amígdala, uma estrutura do cérebro emocional. No entanto, ainda é preciso determinar se essas diferenças cerebrais são ou não as causadoras das orientações políticas das pessoas.
Outros trabalhos mostraram que as reações fisiológicas demonstradas pelas pessoas diante das imagens ameaçadoras ou de sons repentinos de alta intensidade podem se relacionar também com suas posições ideológicas. Concretamente, as pessoas que reagem com mais sensibilidade diante desse tipo de estímulos, tendo sua sensibilidade medida pelas mudanças na condutividade elétrica de sua pele ou pela intensidade de seu piscar de olhos, costumam ser também pessoas mais favoráveis à legalização da posse de armas ou da pena de morte do que aquelas outras pessoas que apresentam menos sensibilidade desse tipo.

A influência dos hormônios sobre a ideologia e as atitudes políticas também mereceram estudos. Neles, não poderia faltar a popularíssima ocitocina, hormônio segregado no hipotálamo cerebral e considerada a promotora da empatia e dos laços afetivos entre as pessoas. Curiosamente, ou consequentemente, segundo o ponto de vista, um estudo mostrou que as inalações desse hormônio fizeram com que um grupo de cidadãos holandeses respondesse mais favoravelmente a seus compatriotas holandeses do que a cidadãos estrangeiros. Outro trabalho mostrou também que a inalação de ocitocina é capaz de promover a tendência ao aumento da confiança e da cooperação com os de seu grupo sem que ao mesmo tempo aumente a desconfiança ou o ódio em relação às pessoas de outros grupos.
Há também uma observação curiosa que indica que as pessoas com altos níveis de cortisol (o hormônio do estresse) tendem menos a ir votar do que as que têm níveis mais baixos desse hormônio no sangue. Segundo esses dados, o estresse poderia ser um fator que diminui a participação dos cidadãos nas eleições. Nem é preciso dizer que determinados acontecimentos sociais, especialmente os traumáticos, podem produzir mobilizações importantes, ainda que nem sempre permanentes, na orientação ideológica das pessoas. Assim ocorreu com quem vivenciou de perto o ataque terrorista de 11 de setembro de 2001 em Nova York, ou também, como comprovamos no primeiro turno de suas recentes eleições, em muitos franceses, depois dos recentes atentados de Paris, pois os dois grupos se movimentaram no sentido de posições conservadoras.
Há anos a ciência estuda se os genes podem influenciar as atitudes das pessoas em questões como o aborto, a imigração ou a pena de morte
Todos os estudos mencionados exigem réplicas e confirmação, pois são ainda escassos e parciais, mas se aceitamos que fatores como a atividade cerebral, os hormônios, os neurotransmissores e outras substâncias biológicas podem condicionar nossa orientação ideológica, temos de nos perguntar quem determina então as diferenças individuais quanto a esses fatores, e isso nos leva diretamente aos genes, ou seja, à herança biológica recebida de nossos pais, como possível condicionante ideológico. O interesse por este fator remonta a 1986, quando a equipe do geneticista australiano Nicholas Martin publicou um trabalho sugerindo que os genes poderiam influenciar as atitudes das pessoas em questões como o aborto, a imigração, a pena de morte ou o pacifismo. Esse estudo explicitou que os gêmeos idênticos, os que compartilham 100% de seus genes, tinham opiniões políticas similares com mais frequência do que os gêmeos fraternos, que só compartilham 50% deles. Como os gêmeos costumam crescer no mesmo ambiente familiar, os genes poderiam ser então o que determina a diferença entre os dois tipos de gêmeos.
Ainda que esses resultados tenham recebido confirmação em diferentes trabalhos realizados mais recentemente nos Estados Unidos por pesquisadores de campo como John Hibbing, John Alford e Peter Hatemi, inclusive com verificações em irmãos gêmeos de diferentes países, os resultados foram muito criticados, especialmente pelas dificuldades de poder controlar nos estudos os fatores que, além dos genes, podem determinar as posições ideológicas das pessoas. Foi dito, por exemplo, que os pais costumam tratar de modo mais parecido os gêmeos idênticos do que os não idênticos, ou que os primeiros costumam ter mais amigos comuns e por isso acabam tendo a mesma ideologia. Essas possibilidades, entre outras, reforçam a conclusão de que os genes são determinantes ideológicos. No entanto, nem é preciso mencionar que uma oportunidade interessante neste campo é a que pode ser oferecida pela moderna ciência epigenética, cujo compromisso com o efeito será determinar como os fatores ambientais incluídos na educação podem fazer com que se expressem ou não os genes capazes de afetar a orientação ideológica das pessoas.
Definitivamente, ainda aceitando a prioridade da educação, os dados disponíveis nos levam a crer que há fatores biológicos que predispõem em alguma medida as orientações ideológicas das pessoas. Dentre esses possíveis fatores, quem escreve se refere à reatividade emocional, ou seja, à força e ao tédio de natureza congênita com o qual as pessoas respondem à contrariedade ou à frustração desde muito pequenos. Essa reatividade é como um canhão cujo calibre herdamos, mas é a educação que recebemos que determina, segundo a mesma metáfora, para onde apontar e quando disparar esse canhão que trazemos conosco ao nascer.
Ignacio Morgado Bernal é catedrático de Psicobiologia no Instituto de Neurociência e da Faculdade de Psicologia da Universidade Autônoma de Barcelona. Autor de Emociones e inteligencia social: las claves para una alianza entre los sentimientos y la razón (Barcelona, Ariel, 2007 e 2011).
(1). Quem quiser conhecer com exatidão o significado do termo liberal, recomendo a leitura da obra Tres ensayos liberales, do advogado e jornalista basco José María Ruiz Soroa, colaborador deste jornal.
Tu suscripción se está usando en otro dispositivo
¿Quieres añadir otro usuario a tu suscripción?
Si continúas leyendo en este dispositivo, no se podrá leer en el otro.
FlechaTu suscripción se está usando en otro dispositivo y solo puedes acceder a EL PAÍS desde un dispositivo a la vez.
Si quieres compartir tu cuenta, cambia tu suscripción a la modalidad Premium, así podrás añadir otro usuario. Cada uno accederá con su propia cuenta de email, lo que os permitirá personalizar vuestra experiencia en EL PAÍS.
¿Tienes una suscripción de empresa? Accede aquí para contratar más cuentas.
En el caso de no saber quién está usando tu cuenta, te recomendamos cambiar tu contraseña aquí.
Si decides continuar compartiendo tu cuenta, este mensaje se mostrará en tu dispositivo y en el de la otra persona que está usando tu cuenta de forma indefinida, afectando a tu experiencia de lectura. Puedes consultar aquí los términos y condiciones de la suscripción digital.








































